Dziennik Gazeta Prawana logo

Nigdy nie powstrzymuj kichnięcia! To może się skończyć naprawdę źle

13 grudnia 2023, 16:47
Ten tekst przeczytasz w 3 minuty
Tłumienie kichnięcia
Nigdy nie powstrzymuj kichnięcia! To może się skończyć naprawdę źle/pexels.com
Podczas kichania powietrze gwałtownie wydostaje się z naszych dróg oddechowych. Głośne kichanie nie jest dobrze widziane w towarzystwie, ale raczej niczym poważnym nie grozi. Co innego z tłumieniem kichania. Ściskanie nosa i zamykanie ust może doprowadzić do poważnego urazu. Przekonał się o tym 30-letni Szkot.

Stłumił kichnięcie i pękła mu tchawica

Brytyjskie media opisują historię mężczyzny, który próbował powstrzymać kichnięcie i doprowadził do pęknięcia tchawicy. 

Jak donosi "The Sun" 30-letni Szkot podczas jazdy samochodem stłumił atak kichania, ściskając nos i zamykając usta. Ciśnienie wywołane kichnięciem było tak wielkie, że wyrwało mu dziurę w tchawicy o średnicy kilku mm. Natychmiast pojechał na SOR. Odczuwał ogromny ból, a badający go lekarze wyczuwali "trzaski" trakcie oddychania. Mężczyzna mógł jednak mówić i przełykać.

Doktor Rasads Nisirovs z Uniwersytetu Dundee powiedział dla "The Sun", że przypadek ten powinien służyć jako ostrzeżenie dla ludzi, którzy starają się zapanować nad kichnięciem. - Trzeba wszystkim mówić, żeby nie tłumili kichania poprzez zaciskanie nosa i zamykanie ust, ponieważ może to spowodować perforację tchawicy - zaznaczył.

Tłumienie kichnięcia może doprowadzić do stanu zagrażającego życiu 

Szczegółowy opis zdarzenia został opublikowany w BMJ Case Reports, brytyjskiej bazie zdarzeń medycznych z różnych dziedzin,

"Spontaniczna perforacja tchawicy jest rzadkim stanem, który może zagrażać życiu. Brytyjskie rejestry medyczne znają tylko kilka przypadków samoistnej perforacji tchawicy, najczęściej są spowodowane urazami powstałymi podczas usuwania tarczycy, w wyniku nieodpowiedniej intubacji, zabiegu tracheotomii czy wprowadzenia stentu do przełyku, a także w efekcie działania substancji żrących". Jak podkreślają autorzy wpisu, perforacja tchawicy w wyniku kichnięcia jest pierwszą udokumentowaną. 

Piszą, że ciśnienie w górnych drogach oddechowych podczas kichania wynosi 1–2 kPa. Jednak gdy usta i nos są zamknięte, może wzrosnąć nawet 20-krotnie.

"Trzydziestoletni mężczyzna cierpiący na alergiczny nieżyt nosa zaraz po stłumieniu kichnięcia poczuł silny ból szyi. Zgłaszając się na oddział ratunkowy, zaprzeczył, jakoby odczuwał duszność, dysfonię (zaburzenia głosu) lub dysfagię (zaburzenia połykania). Podczas badania szyja była obustronnie spuchnięta, z łagodnym trzeszczeniem przy badaniu palpacyjnym i ograniczonym zakresem ruchu szyi. 

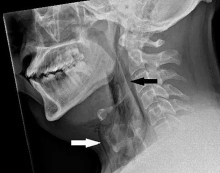
W badaniu RTG bocznej tkanki miękkiej szyi stwierdzono rozedmę chirurgiczną. W tomografii komputerowej szyi i klatki piersiowej z kontrastem uwidoczniono rozdarcie tchawicy o wymiarach 2 mm × 2 mm × 5  mm na poziomie między trzecim a czwartym kręgiem piersiowym, z odmą śródpiersia i rozedmą chirurgiczną szyi" - czytamy.

kichu-38023861.gif
Uraz tchawicy po stłumieniu kichnięcia/BMJ Case Reports

Pacjent był leczony objawowo i przeciwbólowo, interwencja chirurgiczna nie okazała się konieczna. Przebywał w szpitalu pod ścisłą kontrolą przez dwie doby, następnie został wypisany z zaleceniem unikania wysiłku fizycznego przez dwa tygodnie i przede wszystkim niepowstrzymywania kichania. Po pięciu tygodniach zgłosił się na kontrolę, która wykazała, że rozedma chirurgiczna ustąpiła, a w tchawicy nie ma uszkodzeń, ani innych nieprawidłowości.

Copyright
Materiał chroniony prawem autorskim - wszelkie prawa zastrzeżone. Dalsze rozpowszechnianie artykułu za zgodą wydawcy INFOR PL S.A. Kup licencję
Źródło dziennik.pl
Zapisz się na newsletter
Najważniejsze wydarzenia polityczne i społeczne, istotne wiadomości kulturalne, najlepsza rozrywka, pomocne porady i najświeższa prognoza pogody. To wszystko i wiele więcej znajdziesz w newsletterze Dziennik.pl. Trzymamy rękę na pulsie Polski i świata. Zapisz się do naszego newslettera i bądź na bieżąco!

Zapisując się na newsletter wyrażasz zgodę na otrzymywanie treści reklam również podmiotów trzecich

Administratorem danych osobowych jest INFOR PL S.A. Dane są przetwarzane w celu wysyłki newslettera. Po więcej informacji kliknij tutaj