Dziennik Gazeta Prawana logo

WŁOŚNICA: W ubiegłym roku w tym samym okresie ani jednego przypadku. W tym roku: 12!

12 lipca 2023, 06:57
Ten tekst przeczytasz w 1 minutę
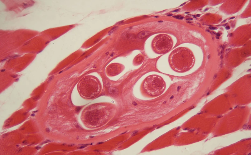
Włośnica, Trichinella spiralis
ShutterStock
W tym roku potwierdzono w Polsce 12 przypadków włośnicy – wynika z najnowszych danych o zachorowaniach na choroby zakaźne. W tym samym okresie ubiegłego roku, czyli od 1 stycznia do 30 czerwca, nie zanotowano ani jednego przypadku.

Włośnica to zakażenie larwami włośnia, znajdującymi się w mięśniach chorych zwierząt, m.in. świń i dzików.

Ludzie chorują na włośnicę po zjedzeniu surowego lub niedogotowanego zakażonego mięsa lub wędlin wędzonych w zbyt niskiej temperaturze.

Larwy nicienia, włośnia krętego (Trichinella spiralis), są otorbione w mięśniach nosiciela. Po spożyciu kawałka surowego, wędzonego w zbyt niskiej temperaturze, niedopieczonego czy niedogotowanego mięsa z larwami, osłonka ulega w żołądku strawieniu, a uwolnione larwy zaczynają się rozwijać w jelicie cienkim.

Przy bardzo silnej inwazji dochodzi wówczas do nieżytu jelit i biegunki. Gdy osiągną dojrzałość, ich liczne potomstwo przenika po kilku-kilkunastu dniach od zakażenia do krwiobiegu i wędruje po całym organizmie, szukając dogodnych warunków do osiedlenia się w mięśniach.

Obecność larw drażni tkanki mechanicznie i wywołuje reakcję alergiczną. Także produkty przemiany materii pasożyta zatruwają żywiciela. Pojawiają się trwające kilka tygodni bóle i sztywnienie mięśni, silna gorączka, dreszcze, obrzęk twarzy i powiek, nudności i wymioty. Przy masywnym zakażeniu objawy przypominające grypę mogą się utrzymywać latami.

Aby zabezpieczyć konsumentów przed włośnicą, mięso świń i dzików jest poddawane badaniom weterynaryjnym. 

Copyright
Materiał chroniony prawem autorskim - wszelkie prawa zastrzeżone. Dalsze rozpowszechnianie artykułu za zgodą wydawcy INFOR PL S.A. Kup licencję
Źródło PAP
Zapisz się na newsletter
Świadczenia, emerytury, podatki, zmiany przepisów, newsy gospodarcze... To wszystko i wiele więcej znajdziesz w newsletterze Dziennik Radzi. Chcesz się dowiedzieć, kto może przejść na wcześniejszą emeryturę? A może jakie ulgi można odliczyć od podatku? Kto może otrzymać środki w ramach renty wdowiej? Zapisz się do naszego newslettera i bądź na bieżąco!

Zapisując się na newsletter wyrażasz zgodę na otrzymywanie treści reklam również podmiotów trzecich

Administratorem danych osobowych jest INFOR PL S.A. Dane są przetwarzane w celu wysyłki newslettera. Po więcej informacji kliknij tutaj